Larisa
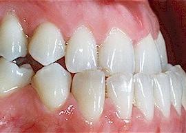
Corectarea protetică a malocluziei în cheilognatopalatoschizis prin coroane de acoperire din zirconiu Definiție Palatoschizisul este o anomalie congenitală caracterizată printr-o despicatură la nivelul palatului dur și a vălului palatin. Despicătura velopalatină poate apare izolat sau poate fi asociată cu alte malformatii ale craniului, în special cu cheiloschizis („buza de […]
